Os desafios mais comuns para obter uma moldagem de qualidade são conseguir um afastamento gengival adequado e controle de fluidos. Tente a técnica de retração de duplo fio em conjunto com agentes hemostáticos efetivos para assegurar as duas coisas.
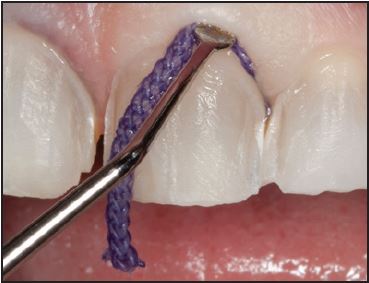
Primeiro fio: Assim que a hemostasia for obtida, coloque cuidadosamente um fio único, como o Ultrapak #00, tão fundo quanto possível, no sulco.
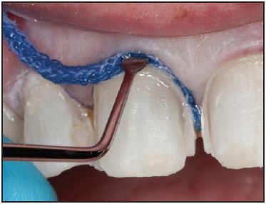
Condense o segundo fio, mais espesso, umedecido em solução hemostática para expansão lateral dos tecidos.
Lave toda a área e seque gentilmente.



