Renato Herman Sundfeld,1 Lucas Silveira Machado,1 Fernanda Garcia de Oliveira,1 Eduardo Almada Santos,2 Isabel Cristina Prado Torres Lugato,3 and Daniel Sundfeld Neto4
1 Discipline of Restorative Dentistry, Araçatuba Dental School, São Paulo State University, Araçatuba, Brazil
2 Department of Pediatric and Community Dentistry, Araçatuba Dental School, São Paulo State University, Araçatuba, Brazil
3 Orthodontic Trainee at the Araçatuba School of Dentistry, São Paulo State University, Araçatuba, Brazil
4 Discipline of Dental Materials, Piracicaba Dental School–Campinas University, Piracicaba, Brazil
Consulte a publicação original aqui
Resumo
O que se segue é um relato de caso clínico de um paciente cuja queixa principal foi a presença de espaçamento generalizada no segmento anterior da maxila após o tratamento ortodôntico. Após análises clínicas meticulosas e discussões sobre os procedimentos clínicos a serem adotados, foi realizado o clareamento dental em ambos os arcos com 10% de peróxido de hidrogênio (Opalescence Trèswhite Supreme 10% Peróxido de Hidrogênio - Ultradent Products, Inc., South Jordan, EUA) após a conclusão e estabilização do tratamento ortodôntico. Em seguida, o aparelho ortodôntico foi removido e os diastemas nos dentes anteriores superiores foram fechados com a resina composta Amelogen Plus (Ultradent Products, Inc., South Jordan, EUA). Observou-se que a associação dos procedimentos ortodôntico, de clareamento e restauradores foi capaz de restaurar a forma, função e estética dentais, permitindo que o paciente possa sorrir sem hesitação.
Palavras-chave: Ortodontia, diastema, clareamento dental, resina composta
Introdução
Consideráveis avanços na tecnologia de comunicação fizeram uma contribuição significativa para o conhecimento, expectativas e exigências do paciente relativos às possibilidades estéticas que esta profissão tem para oferecer. Como resultado, os profissionais têm melhorado os seus conhecimentos e qualificações para realizar as mais variadas e inovadoras formas de tratamento odontológico. Consistente com esta pesquisa, o tratamento multidisciplinar tornou-se cada vez mais necessário e comum nos consultórios odontológicos, particularmente para a resolução de casos clínicos mais complexos.1–6
Uma condição clínica que pode levar a fazer esta associação está relacionada com a presença de espaços interproximais, que prejudicam a aparência estética dos dentes do paciente em grande medida. Devido a essa possibilidade e com a intenção de obter a estética satisfatória, os profissionais podem utilizar procedimentos estéticos conservadores, incluindo clareamento dental e restaurações adesivas, ou mesmo uma combinação destes procedimentos7. É importante ressaltar que a odontologia estética adesiva contemporânea, entre outros coisas, permite a obtenção de restaurações adesivas estéticas fortemente ligadas à estrutura dental, particularmente quando elas são feitas no esmalte do dente. No entanto, há uma necessidade de um plano bem formulado e profissional bem qualificado para realizar essas restaurações.
Nosso objetivo foi apresentar um protocolo clínico para a reconstrução estética do sorriso do paciente após a conclusão e estabilização de um tratamento ortodôntico. Para este efeito, foi realizado o clareamento dental com 10% de peróxido de hidrogênio e fechamento de diastema com restauração com resina composta.
Caso Clínico
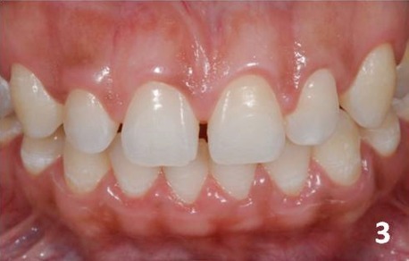
O paciente de 23 anos de idade apresentou-se com espaçamento generalizada no segmento anterior da maxila após o tratamento ortodôntico. Observou-se que, após o nivelamento e alinhamento dos dentes, de acordo com a posição correta dos caninos, pré-molares e molares, não foi possível obter o fechamento dos diastemas porque se caracterizou um modelo de diferença positiva. Especificamente, o perímetro da arcada dentária foi maior do que a soma dos diâmetros mesiodistais dos dentes. Portanto, esses espaços foram fechados com resina composta.(Figura 1).
Figura 1. Após a conclusão e estabilização do tratamento ortodôntico.
Os procedimentos ortodôntico, clareador e restaurador foram realizados na clínica de pós-graduação de um consultório odontológico na Faculdade de Odontologia de Araçatuba - UNESP, após a conclusão e o estabelecimento de um tratamento ortodôntico (ou seja, antes da remoção do aparelho ortodôntico no maxilar e mandibular arqueada). O clareamento dental foi realizado nas arcadas superior e inferior com a aplicação de 10% de peróxido de hidrogênio (Opalescence Trèswhite Supreme 10% Peróxido de Hidrogênio - Ultradent Products, Inc., South Jordan, EUA) (Figura 2). O procedimento de clareamento cumpriu a sequência clínica apresentada na Tabela 1.
Figura 2. Realizando o clareamento dental com Opalescence Trèswhite Supreme (10% Peróxido d Hidrogênio - Ultradent Products, Inc., South Jordan, USA).
Tabela 1. Procedimento clínico para o clareamento dental com Opalescence Trèswhite Supreme (10% Peróxido de Hidrogênio - Ultradent Products, Inc., South Jordan, USA).
Oito tratamentos clareadores consecutivos foram realizados ao longo de oito dias. Imediatamente após o clareamento dental foram realizadas sete aplicações tópicas de 2% gel de fluoreto de sódio com pH neutro, durante 4 minutos, com uma aplicação por dia. 6
Após a obtenção da cor desejada e espera por um período de sete dias8,9, os aparelhos ortodônticos foram removidos do maxilar e mandibular (Figura 3), de modo que os diastemas entre os dentes anteriores da maxila pudessem ser fechados com resina composta Amelogen Plus (Ultradent Products, Inc., South Jordan, EUA). A resina composta foi aplicada à superfície do esmalte dos dentes após a profilaxia com pedra-pomes e água, utilizando uma escova tipo Robinson (KG Sorensen Ind. & Com., Alphaville, São Paulo, Brasil). Então, a sombra adequada de resina composta foi selecionada através da realização de isolamento absoluto. Isolamento completo foi obtido usando rubberdam (Meidetex, São José dos Campos, São Paulo, Brasil). Os dentes a serem reconstruídos foram condicionados com ácido fosfórico a 37% (Dentsply - De Trey Gmbh, Konstanz, Alemanha) em toda a coroa clínica dental por 30 segundos. Imediatamente após a lavagem e secagem do esmalte dental gravado, duas camadas do sistema adesivo Adper Single Bond 2 (3M ESPE Dental Products St. Paul, MN, EUA) foram aplicados e posteriormente polimerizada luz durante 10 segundos usando um aparelho de luz halógena Ultralux (Dabi Atlante, Ribeirão Preto, São Paulo, Brasil), com uma potência de 450mW / cm2. A resina composta Amelogen Plus (Ultradent Products, Inc., South Jordan, EUA) em tons de dentina A1 e A2 e sombra esmalte PT foi usada com uma espátula de metal, tira de poliéster, e cunha de madeira nas regiões proximais dos dentes que foram reconstruídos. A Polimerização foi realizada durante 20 segundos para cada camada inserida e com o aparelho de polimerização acima mencionado (Figura 4).
Figura 3. Após a realização do clareamento com 10% de Peróxido de Hidrogênio e remoção de aparelho ortodôntico.
Figura 4. Inserção da resina composta Amelogen Plus (Ultradent Products, Inc., South Jordan, USA).
Excessos marginais foram removidos e a altura incisal foi ajustada com a utilização de uma ponta de diamante 1190 F (KG Sorensen Ind. & Com., Alphaville, São Paulo, Brasil) (Figura 5). Foi realizado ajuste oclusal, bem como em excursões funcionais e não funcionais, e em saliência. Durante a sessão seguinte, as margens, a forma e a cor das restaurações foram novamente observadas e imediatamente após o acabamento e polimento final foram realizados com Sof-Lex Pop-On (3M ESPE Dental Products St. Paul, MN, EUA). Discos abrasivos foram utilizados para acabamento de resina composta e pontas de polimento, com uma ponta para polir Jiffy polisher cups (Ultradent Products, Inc., South Jordan, EUA) e Jiffy composite polishing brushes (Figuras 6, 7, 8). As Figuras 9 e 10 mostram o resultado final.
Figura 5. Finalizando a restauração com resina composta com a aplicação de uma ponta diamantada 1190 F (KG Sorensen Ind & Com, Alphaville, São Paulo, Brazil).
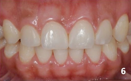
Figura 6. Após o término da restauração
Figura 7. Polindo a restauração com uma ponta de polimento Jiffy Polisher Cups (Ultradent Products, Inc., South Jordan, USA).
Figura 8. Polindo a restauração com uma ponta de polimento Jiffy Composite Polishing Brushes (Ultradent Products, Inc., South Jordan, USA).
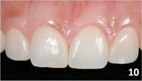
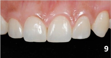
Figuras 9 e 10. Restaurações com resina composta finalizadas
Discussão
Fechamento de diastemas na região anterior exige uma abordagem cuidadosa e planejamento adequado por parte do profissional em incluir conceitos multidisciplinares a fim de alcançar um resultado satisfatório. 2
Como Mendonça et al, 2 descobrimos que os objetivos ortodônticos relacionados com a posição correta dos molares, pré-molares e caninos, ainda, sobreposições horizontais e verticais foram alcançados dentro da faixa normal. Neste momento, o raciocínio clínico deve prevalecer. Se estamos diante de oclusão adequada dos aspectos estáticos e dinâmicos e ainda existem diastemas a ser fechados, a solução mais vantajosa para o paciente é obtido por meio de recursos restauradores.
Devido ao fato de que o paciente apresentou elementos dentais amarelados, o clareamento dental com 10% de peróxido de hidrogénio foi proposto. Este foi realizado após a movimentação dentária e estabilização ortodôntica; no entanto, os brackets não haviam ainda sido removidos dos dentes. Este manejo clínico permitiu o fechamento dos diastemas com resina composta imediatamente após a remoção dos brackets ortodônticos, uma vez que os elementos dentários já tinha a cor ideal para a realização das restaurações.
A maneira pela qual o produto clareador foi apresentado e inserido no arco dentário promoveu a sua adaptação aos dentes e permitiu que os brackets ortodônticos se unissem a eles, bem como permitir um efeito de clareamento em apenas oito dias, com uma aplicação por dia. Não observamos nenhuma sensibilidade dental decorrente de sua utilização. Outra opção para clareamento dos dentes é o clareamento em consultório com peróxido de hidrogênio a concentrações mais elevadas. No entanto, nós decidimos pelo protocolo que foi utilizado porque o clareamento no resultado final foi consideravelmente mais rápido. Utilizamos tópico de flúor após o clareamento porque acreditávamos que esse procedimento clínico poderia promover a remineralização do esmalte dental. 7
Para alcançar os desejados estéticos dentais, a proporção de ouro pode ser usada para construir a harmonia dentária no que diz respeito ao tamanho e forma dos dentes envolvidos no diastema1,2,10. Além disso, a escolha de um material de restauração eficaz para utilização direta deve ser feita usando determinados critérios para que possamos estabelecer com segurança e de forma satisfatória as novas mesio / dimensões distais e larguras, assim como a cor, a textura e resistência dos elementos dentários envolvidos. 1,2,3,5,7
A escolha de restaurações diretas com resina composta sobre outras opções de restauração indireta foi feita principalmente devido ao fato de que o tratamento utilizado foi mais acessível e não envolveu qualquer desgaste da estrutura dental. Além disso, é um procedimento mais barato.1,2,11 Vale a pena considerar que o sucesso clínico de restaurações de resina composta anterior está diretamente relacionada com o uso de uma técnica extremamente precisa. A penetração de sistemas adesivos na superfície do esmalte dentário depende não só da eficácia de condicionamento ácido, mas também na limpeza da superfície do esmalte e as condições de isolamento campo operatório. Neste caso, foi dada prioridade ao isolamento absoluto. No entanto, se esta não pode ser feita, isolamento relativo pode ser utilizado, desde que seja cuidadosamente realizado. Uma vez que a superfície do esmalte foi condicionada, se estiver contaminado pela saliva ou humidade por via oral, ela interfere com a formação da etiqueta, reduzindo-a em número e tamanho, afetando assim a retenção do material resinoso na superfície condicionada.12,13
A resina composta utilizada foi Amelogen Plus (Ultradent Products, Inc., South Jordan, EUA), que é uma resina composta direta desenvolvida para restaurar dentes anteriores e posteriores. Entre outros atributos, apresenta superfície lisa depois de acabamento e polimento. A execução do ajuste oclusal adequado tanto na intercuspidação habitual máxima de trabalho e nos movimentos de excursão e protrusão de folga contribuirá certamente para a longevidade das restaurações realizadas. 1Os controles periódicos das condições ortodônticas estabelecidas e restaurações realizadas devem ser feitos por meio de visitas ao profissional responsável pelo tratamento previsto. 1,2
Conclusão
Podemos afirmar que a associação de procedimentos ortodônticos, clareadores e restauradores foi capaz de restaurar a forma, função e estética dentais, e contribuiu para a aparência estética de nosso paciente.
Referências
-
Garcia AR, Sundfeld RH, de Alexandre RS. Reestablishment of occlusion with prosthesis and composite resin restorations. Bull Tokyo Dental Coll. 2009;50:91–96.[PubMed]
-
Mendonça MR, Koyama NS, Machado LS, Guedes APA, Oliveira FG, Sundfeld Neto D, Sundfeld RH. Associação de procedimentos ortodônticos e restauradores na recuperação do sorriso de um paciente adolescente. Dent Bras. 2009;1:14–16.
-
Sundfeld RH, Croll TP, Rahal V, De Alexandre RS, Briso AL, Sundfeld Neto D. Smile restoration by use of enamel microabrasion associated with tooth bleaching. Compend Contin Educat Dent. 2008;29:2–9.
-
Sundfeld RH, Rahal V, Croll TP, De Aalexandre RS, Briso AL. Enamel microabrasion followed by dental bleaching for patients after orthodontic treatment-case reports. J Esthet Restor Dent. 2007;19:71–77.[PubMed]
-
Furuse AY, Franco EJ, Mondelli J. Esthetic and functional restoration for an anterior open occlusal relationship with multiple diastemata: a multidisciplinary approach. J Prosthet Dent. 2008;99:91–94.[PubMed]
-
Sundfeld RH, Croll TP, Briso AL, De Alexandre RS, Sundfeld Neto D. Considerations about enamel microabrasion after 18 years. Am J Dent. 2007;20:67–72.[PubMed]
-
Sundfeld RH, Rahal V, Croll TP, De Aalexandre RS, Briso AL. Enamel microabrasion followed by dental bleaching for patients after orthodontic treatment-case reports. J Esthet Restor Dent. 2007;19:71–77.[PubMed]
-
Da Silva Machado J, Cândido MS, Sundfeld RH, De Alexandre RS, Cardoso JD, Sundefeld ML. The influence of time interval between bleaching and enamel bonding. J Esthet Restor Dent. 2007;19:111–119.[PubMed]
-
Sundfeld RH, Briso AL, De Sá PM, Sundfeld ML, Bedran-Russo AK. Effect of time interval between bleaching and bonding on tag formation. Bull Tokyo Dent Coll. 2005;46:1–6.[PubMed]
-
Levin EI. Dental esthetics and the golden proportion. J Prosthet Dent. 1978;40:244–252.[PubMed]
-
Almog D, Sanchez Marin C, Proskin HM, Cohen MJ, Kyrkanides S, Malmstrom H. The effect of esthetic consultation methods on acceptance of diastema-closure treatment plan: a pilot study. J Am Dent Assoc. 2004;135:875–881.[PubMed]
-
Komatsu J, Russo M. Restaurações estéticas em dentes anteriores sem preparo cavitário convencional: estudo clínico. Rev Assoc Paul Cir Dent. 1979;33:386–392.[PubMed]
-
Komatsu J, Russo M, Takayama S, Holland Junior C, Sasaki T, Quintella LA. Influência da contaminação do esmalte dental descalcificado pelo ácido na retenção de restaurações de resinas compostas. Rev Assoc Paul Cir Dent. 1980;34:476–479.[PubMed]










